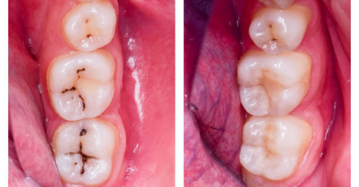
The 7-Day Plaque Removal Protocol: How to Remove Teeth Plaque Naturally at Home (Without a Dentist)

remove plaque naturally

“Consult your dentist before trying new home remedies.” If you’re looking for how to remove teeth plaque naturally at home, you’re not alone—millions search this every month, frustrated by the sticky film that reappears no matter how much they brush. According to a 2023 study in the Journal of Clinical Dentistry, nearly 70% of adults struggle with plaque

Does Coconut Oil Whiten Teeth? A Dentist’s Evidence-Based Answer (2025 Results)

coconut oil whiten teeth

“Consult your dentist before trying new home remedies.” If you’re searching for whether coconut oil whiten teeth, you’ve likely seen glowing testimonials across social media and wellness blogs—but also heard cautious skepticism from dental professionals. The direct answer is: Yes, coconut oil can contribute to a brighter smile, but not in the way most influencers claim, and

The Dentist-Approved “Kitchen Cabinet” Method: How to Whiten Teeth Naturally in 7 Days

whiten teeth naturally

“Consult your dentist before trying new home remedies.” Every year, the amount spent by the USA citizens on teeth whitening strips, gels, and treatments exceeds a billion-dollar mark while they have to pay the price for a pretty and cute smile by chemical sensitivity, enamel erosion, and gum irritation. How would you feel about the

The 7 Hidden Causes of Bad Breath Even After Brushing (& How to FIX Them For Good)

causes of bad breath even after brushing

“Consult your dentist before trying new home remedies.” You​‍​‌‍​‍‌ regularly brush, floss, and rinse with a mouthwash, but you still cannot prevent yourself from asking: Why does my breath smell bad even after ​‍​‌‍​‍‌brushing? ​‍​‌‍​‍‌One​‍​‌‍​‍‌ of the most important steps to finding out the causes of bad breath that does not go away even after

How to Strengthen Weak Enamel Naturally: The 17-Step Kitchen Cabinet Cure (Starting Today)

foods that strengthen weak enamel

“Consult your dentist before trying new home remedies.” Are you searching for genuine, effective ways to strengthen weak enamel naturally? If you’re wondering how to repair tooth enamel naturally at home, you are not alone. Don’t just brush. Floss and see your dentist for a truly healthy mouth. It helps your own body repair and strengthen your