“Consult your dentist before trying new home remedies.”
Reverse Gum Disease Naturally—If you are on the road and your searches lead to such words, it probably means that you are thinking of oral tissues that: are bleeding, sore, or bright red and look swollen. These are the unmistakable signs of gingivitis, the early and reversible stage of gum disease.
Here’s your direct answer: Yes, you can reverse early gum disease at home—without surgery or harsh chemicals—when you follow a targeted, biologically sound protocol. This is not merely dreaming of hope; it is a fact that has been supported by dental science and the principles of guided tissue healing.

Why does most advice on this topic fail? Because it offers random remedies without a sequence if your goal is to reverse gum disease naturally. The process of healing the gum tissue entails going through three exclusive biological processes like: Diminishing active inflammation, curing damaged tissue, and strengthening long-lasting resilience. This 3-Phase Protocol specifically designed by dentists and endorsed by them is the perfect solution to that—periodontists help in creating a systematic plan that is based on clinical trials. We’ve replaced guesswork with physiology.
What will you find here that other guides miss?
✔ The critical “why” behind each step—so you understand how your actions directly change your oral microbiome.
✔ How to distinguish reversible gingivitis from early periodontitis—and exactly when you must see a dentist.
✔ The often-overlooked nutrient (supported by a 2023 Journal of Periodontal Research study) that is essential for collagen repair in gum tissue.
✔ A common brushing mistake that can worsen gum recession—and how to correct it in 60 seconds.
Ready to reverse gum disease naturally? This protocol is your initiative to step out of temporary solutions and carry out a clear, phase-wise plan that addresses the root cause of inflammation. Let the healing of your gums begins the right way.
Can You Reverse Gum Disease? The Truth Based on Stages
Your ability to reverse gum disease naturally depends entirely on which stage you’re in. It is essential to first grasp this differentiation.
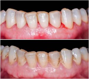
Gingivitis (Reversible): This stage is the earliest. It is characterized by inflammation — your gums get red and swollen and they bleed easily when you brush or floss. The damage is only to the gums as the bone and connective tissue supporting the gums are intact. Gum inflammation (gingivitis) can be completely healed with proper and constant treatment. The steps mentioned are meant specifically for your condition.
Periodontitis (Manageable, Not Fully Reversible): When gingivitis progresses, it becomes periodontitis. Bacteria are the main cause of your “pockets” of gum and bone that separate from the teeth and get infected. The bacteria that destroy the bone supporting your teeth is the main cause of this condition which is progressive in nature.
As for the lost bone, you will not be able to grow it back, but by taking aggressive action with both natural and professional interventions, you can stop the disease’s progress, decrease pocket depth, and avoid further damage. Our guide provides a down-to-earth plan to reverse gum disease naturally and secure your oral health.
Therefore, when your gums are bleeding, but your teeth are still feeling firm, you have a window of opportunity that is very valuable. This protocol is your blueprint.
How to Reverse Gum Disease Naturally Without a Dentist (And When You Still Must See One)

This is one query that people tend to search for very often on the internet: how to reverse gum disease naturally, and thus it is important to be given a proper answer. You can effectively cure gingivitis (early gum disease) at home with a disciplined protocol. The treatment of advanced gum disease, however, remains in the hands of a dentist.
Understand this like a wound: a scratch that can be treated with home antiseptic and a bandage. A deep-seated infected wound necessitates a doctor’s help. Your gums are no different.
The Limits of At-Home Care: What You Can and Cannot Fix Yourself:
You CAN at home:
The biofilm of plaque, which is the cause of gingivitis, is to be removed.
Inflammation reduction and bleeding cessation.
Gum tissues can be repaired and strengthened.
Exhibit an oral atmosphere that is unfavorable for pathogenic bacteria.
You CANNOT at home:
Dissolve the petrified tartar (calculus). As soon as the plaque mineralizes, the only one who can get rid of it is a dentist.
Surgically reduce deep periodontal pockets.
Regenerate bone lost to periodontitis.
Diagnose the exact stage of your disease with certainty.
???? Any intensive protocol to reverse gum disease naturally, if you haven’t had a check-up in over a year, schedule a dental cleaning and evaluation. This gives you a baseline, removes any existing tartar (allowing your home care to actually work), and rules out advanced disease. It’s the smartest first step you can take.
How This 3-Phase Protocol Works: Your Science-Based Roadmap to Healing
Recovering gums fully from gingivitis is more than just brushing. To reverse gum disease naturally, it requires a carefully organized procedure that mirrors the body’s own self-healing mechanisms.
1) Halt the Attack
2) Repair the Damage
3) Fortify the Defenses.
The protocol is a 3-part journey that each phase has a clear goal, a specified period, and a detail of actionable steps. For sure, neglecting or bypassing a stage will have an adverse effect on your findings. Stay consistently dedicated.
Phase 1: The Inflammation Reset (Days 1-14)
Goal: Stop the bleeding, reduce swelling, and disrupt the bacterial biofilm (plaque) fueling the infection.
This phrase is assumed to mean mainly that your mind is in a serene and fit condition when surrounded by little or no physical clutter, and that other conditions, like inflammation, would be separate from you as they are not present in you.
What Is the strongest natural antibiotic for Gum Infection?

Although “natural antibiotic” is a trendy term, a better strategy to reverse gum disease naturally is to use “anti-biofilm agents.” The primary aim is not to just extricate bacteria at random (which can also be detrimental to good microbes) but instead to destruct the protective biofilm matrix in which they live. The inversely the most pointed and scientifically proven options are:
Coconut Oil (for Oil Pulling): Rich in lauric acid, which is converted to monolaurin in the body—a compound known to disrupt bacterial cell membranes and biofilms, particularly against S. mutans, a key cavity and gum disease bacterium.
Green Tea Extract (Catechins): EGCG is a very strong superoxide dismutase. It kills the bacteria causing periodontal disease and also reduces the gum tissue inflammation. It is one of the main chemicals that are used to naturally treat gum disease and to heal the tissues affected.
Aloe Vera Gel: Present in the leaves are anthraquinones and polysaccharides, which have direct anti-inflammatory and antimicrobial properties to help reverse gum disease naturally. It is well known that aloe vera gel has a soothing effect, but directly applying the gel to your gums may still cause quite a bit of irritation.
The strongest approach is a combination: using mechanical cleaning (brushing/flossing) to physically disrupt the biofilm, followed by these natural agents to inhibit bacterial regrowth and calm inflammation.
Step 1: The Therapeutic Brushing & Flossing Technique

Stop concerning about aggressive scrubbing. To reverse gum disease naturally, cleaning effectively without traumatizing swollen gums is a must.
Tool: Use an extra-soft or soft-bristled toothbrush or a sonic electric brush with a pressure sensor.
Technique: This method of operation is based on the existence of the Modified Bass system. At the beginning, you have to hold the bristles at a 45-degree angle to the gumline that is the exact area where the tooth and the gum meet.
Depending on the gentle swing or the small circular motion of the toothbrush, the surface below the gum margin can be cleansed, and the bristles be turned out of the gum afterwards. If you manage to perform such an action, then the ‘’sulcus’’ area which is usually totally covered with plaque will clean off by you thoroughly.
Frequency & Timing: Brush for two full minutes, twice daily. Crucially, brush before breakfast, not after. Starting the day with a mouth full of plaque is the most unpleasant nightmare, and brushing teeth after eating acidic foods may be bad for your enamel.
Flossing is Non-Negotiable: One of the best ways to reverse gum disease without the use of any chemicals or drugs is by blindly focusing on how you floss every day. Take a piece of floss and make a ‘C’ around one tooth. It is important that you do not just force the floss between the teeth but that you actually slide it beneath the gum lining. Then clean the side of the tooth by moving the floss up and down.
Step 2: The Anti-Inflammatory Rinse Protocol

After cleaning, use a rinse to deliver healing agents and alter the oral pH.
Saltwater Rinse (Twice Daily): A basic, warm saltwater rinse is a foundational step to reverse gum disease naturally; with 1/2 teaspoon salt added to a cup of warm water, it is very effective for this. It is isotonic, reduces edema, and creates an unfavorable habitat for bacteria.
Oil Pulling (3-4 Times Weekly): First thing in the morning… This is a powerful adjunct for reducing plaque. The detailed protocol includes all the steps and instructions that you need to follow to perform oil pulling correctly. The procedure consists of the duration, the following steps, and what to look forward to.
Aloe Vera Rinse (Optional for Severe Inflammation): Dilute pure, food-grade aloe vera juice with water (50/50) and use as a final rinse before bed to help reverse gum disease naturally by soothing significant inflammation.
???? Call to Action: Commit to Phase 1 for a strict 14 days. Track your progress. Is there less blood on your floss by day 7? Are gums less puffy? This feedback is your motivation to continue.
How to Reverse Gingivitis Naturally in 3 Phases
As you complete Phase 1, you are actively reversing gingivitis and learning how to reverse gum disease naturally. You’ve moved from causing daily trauma to implementing daily therapy. The bleeding should be significantly reduced or gone. Now, we shift from crisis management to active repair.
Phase 2: The Tissue Repair & Strengthening Phase (Weeks 3-8)

Goal: Heal the gum tissue, encourage attachment to the tooth, and rebuild the underlying collagen structure.
The inflammatory condition being normal, your body now channels its resources to repairing the damage. The phase comprises special nourishment and stimulation.
How to Reverse Gum Recession Naturally

You cannot magically grow gum tissue back over exposed roots, but you can:
Stop the cause (usually over-brushing or chronic inflammation).
Strengthen the tissue you have to make it more resilient and appear healthier.
Avoiding more recession.
The key is gentle stimulation and nutrient support.
Step 3: Gum Massage with Healing Agents

Gum massaging can boost blood circulation (bringing oxygen and nutrients) to reverse gum disease naturally and reinforce the tissue. Therefore, it is a base gum health work-out to do this fine stimulation. For a comprehensive guide focused specifically on reversing gum recession with advanced techniques and targeted remedies, explore our in-depth protocol.
Method: With a clean finger, apply gentle, circular pressure to your gums for 1-2 minutes after brushing. You can use a tiny amount of:
Coconut Oil: For its powerful antimicrobial benefits, which are essential to reverse gum disease naturally.
Aloe Vera Gel: For its soothing, healing properties.
Vitamin E Oil (from a punctured capsule): A powerful antioxidant for tissue repair that aids your strategy to reverse gum disease naturally.
Step 4: Collagen synthesis and its nutrition key support.

As collagen is the main component of gums, it is essential for them to have the proper nutrition to recover. Vitamin C is essential… For a complete list of the most powerful foods specifically studied for gum health, explore our guide on dentist-proven superfoods for healthy gums.
Vitamin C: Vitamin C is a necessary part of any protocol to reverse gum disease naturally. It is the classic solution to bleeding gums (scurvy) and is readily available in the food chain from sources like citrus, bell peppers, and broccoli.
Vitamin D & K2: Directors in your mission to reverse gum disease naturally. Vitamin D not only plays a role in moderating the immune response of the gums, but it also serves to activate Vitamin K2, which is the nutrient that helps calcium get deposited into the bones that support your teeth. Vitamin D can be sourced from sunlight or supplements, and Vitamin K2 is available in natto, fermented foods, and grass-fed dairy products.
Zinc: To reverse gum disease naturally, include zinc in your diet: this substance is very important not only for the recovery of gum tissues but also for the body’s overall ability to fight inflammation. Find it in pumpkin seeds, beans, and meat.
Omega-3 Fatty Acids (EPA/DHA): Fish oil supplements, which are often part of your diet, are among the trending strategies that help to decrease the inflammation of the gums. It is the consumption of these supplements that makes the difference.
Coenzyme Q10 (CoQ10): Gum tissues from patients with periodontitis are typically deficient in CoQ10, an essential compound for cellular energy and antioxidant defense functions. Supplements can help reverse gum disease naturally by supporting the healing process at a cellular level.
???? Hey, this week try to monitor your food intake. Mouth gums directly heal with an omega-3 and vitamin D3 + K2 addition.
Phase 3: The Lifelong Maintenance Protocol (Ongoing)
Goal: One of the diseases of the gum which can be prevented is that found in the gums and the promotion of good gum health for the future. Your duty is to adapt your routine now to reverse gum disease naturally and foster the healthy environment you’ve created.
Reversal is pointless without maintenance. The integration of the skills and knowledge learned in Phase 1 and Phase 2 into a typical sustainable mode of living is manifested in this step.
Step 5: A High-efficiency Daily Hygiene Routine for the Best Results.
Your twice-daily routine should now be second nature:
Floss thoroughly.
Brush using the Modified Bass Technique with a soft brush and a stannous fluoride or hydroxyapatite toothpaste (both are excellent for gum health and enamel remineralization).
As part of your daily routine to reverse gum disease naturally, rinse with a warm water or saltwater solution to soothe inflammation.
*(Oil pulling can be reduced to 1-2 times per week for maintenance.)*
Step 6: The Quarterly “Gum Health Check”
Make it a habit to assess yourself once every three months:
Bleeding: Do your gums bleed when you floss deeply?
Appearance: Are they coral pink and stippled (like an orange peel), or red and puffy?
Sensitivity: Has sensitivity increased?
Breath: Is bad breath under control?
This allows you to be proactive and not reactive.
How to Reverse Periodontitis Naturally: The Realistic Approach
For those with diagnosed periodontitis, this protocol is a crucial adjunct to professional treatment, not a replacement.
Professional Treatment is Step Zero: You must undergo scaling and root planning (deep cleaning) to remove tartar from deep pockets. This is something that no natural treatment can do.
Follow This Protocol Rigorously: After your deep cleaning, Phases 1, 2, and 3 become your perfect, precise home care regimen to support healing and prevent reinfection.
Manage Expectations: You can reduce pocket depths, eliminate bleeding, and achieve stability. The goal is clinical attachment gain and halted bone loss. Savor these wins.
Home Remedies to Reverse Gum Disease: What Actually Works?
We can look into the solutions that are likely to be effective for the three cases we just discussed to get information on them.
✅ Oil Pulling (Coconut/Sesame): Works. Best in Phase 1 & Maintenance. An anti-biofilm, anti-inflammatory practice to reverse gum disease naturally.
✅ Saltwater Rinse: Works. Works. Best in Phase 1. A foundational step to reverse gum disease naturally, it reduces edema and cleanses tissues.
✅ Aloe Vera: Works. Best in Phase 1 & 2. Soothes and heals.
✅ Green Tea: Works. An excellent tool to reverse gum disease naturally. Since it is loaded with antioxidants and has anti-inflammatory properties, you can either take it internally or use it as a mouth rinse, both ways being good for all the crucial stages of the protocol.
❌ Hydrogen Peroxide (High Concentration): Use with extreme caution. Are capable of causing damage to connective tissue and also can delay the healing process. Not recommended in this gentle tissue protocol.
❌ Lemon Juice/Apple Cider Vinegar: Avoid. Strongly acidic, will erode enamel, and be able to burn tissue.
❌ Baking Soda (Undiluted, Abrasive Use): Risky. Can be too abrasive. If used, mix into a paste with water and use sparingly in Phase 3 for surface stain removal only.
Crucial Warning: It Is the Time to Rush to the Dentist When You Need Urgent Care
Stop home care and seek professional help immediately if you experience:
A tooth becoming loose or changing position.
A continuous, pulsating tooth or gum discomfort.
A big, sore bump on your gums or face.
Pus is discharging from the area between your teeth and gums.
A fever accompanying gum problems.
These are signs suggesting a serious condition, and these patients probably need antibiotics, and surgery could also be considered.
FAQs
Can I reverse gum disease on my own?
Yes, if it is gingivitis (early stage). With consistent, correct care using a protocol like this one, you can completely reverse it. Periodontitis requires professional treatment first.
When is it too late to reverse gum disease?
It’s “too late” for 100% natural reversal once significant bone loss has occurred (moderate to severe periodontitis). However, it is never too late to stop its progression and improve your health with professional and dedicated home care.
How to treat gum disease in pregnancy?
Pregnancy gingivitis is a common problem, so, it is very important to brush twice a day and floss daily and, of course, to adopt a soft, natural method to recover from the gum disease. The program (mainly Phases 1 and 2) is mild, secure, and personalized for you. Always, however, it is a commendable practice to inform your dentist and gynecologist.
Can a gum infection cause a headache?
Yes. Everyday hygiene practices are essential if you want the best results. For example, you should have a well-balanced diet that contains a lot of fruits and vegetables, limit your sugar intake, and always brush your teeth properly. If the gum tissue remains swollen, then a kid’s dental model consultation is suggested for you.
How do you treat swollen gums in children?
To reverse gum disease naturally, prime attention should be given to a gentle hygiene routine, a nutrient-rich diet low in sugar, and making sure the right brushing technique is followed. If the swelling does not go with time, you should consult a dentist for kids.
Conclusion: The Path to Healthy Gums Again
To reverse gum disease naturally is not a mystery—it’s a method. You now hold the method: a Dentist-Backed 3-Phase Protocol that transitions you from inflammation to repair to lifelong resilience.
Your journey starts today:
Assess: Determine if you’re likely in the gingivitis stage.
Commit: Begin Phase 1: The Inflammation Reset for the next 14 days without compromise.
Nourish: As bleeding stops, transition into Phase 2 with gum massage and targeted nutrition.
Sustain: Lock in your results with the Phase 3 maintenance routine.
It’s not only your gums that you are saving; it is also your overall health, confidence, and well-being that you are investing in. You possess both the information and the strategy. You have the ability to heal—by using it regularly, you can achieve the desired results.
???? Allow this to be more than just another article you read. If you are ready to reverse gum disease naturally, bookmark this page now. Phase 1 of the dentist-backed protocol launches tomorrow morning. Return in two weeks and share your progress in the comments—how you have moved toward a healthier smile. You are within reach of lasting gum health. Go get it now.
About Sumaira Iqbal Sumaira is a Natural Oral Health Researcher with over 5 years of experience analyzing peer-reviewed dental science. She founded PureSmileTips to provide evidence-based, safe, and natural alternatives to conventional dental care. Remineralization and gum health are the primary areas that she focuses on in her research.
Follow her on: | Medium | LinkedIn | Instagram | Pinterest | Facebook
