How Smoking & Sugar Secretly Destroy Your Teeth and Gums—the answer is not about surface stains or simple cavities. It is a silent, biochemical war where these two culprits work in tandem to dismantle your oral health from the inside out, with one specific stage of damage being truly irreversible.
While most articles treat them separately, the dangerous synergy behind how Smoking & Sugar Destroy Your Teeth and Gums creates a perfect storm for rapid decay, gum disease, and tooth loss that often progresses unnoticed until it’s too late.

Continue reading because this is not just another scare tactic. This is a revealing briefing based on clinical dentistry and periodontology that fully explains how Smoking & Sugar Destroy Your Teeth and Gums. You’ll discover the three-stage progression of damage, identify the often-missed early warnings, and learn why the point of no return—Stage #3: Periodontal Bone Loss—is largely irreversible, a fact most people ignore until they face costly surgeries or tooth extractions.
We’ve compiled the critical insights from dental research that explain:
The Double Assault: How smoking weakens your mouth’s defenses just as sugar ramps up its attack. This is the core of how Smoking & Sugar Destroy Your Teeth and Gums.
The Hidden Progression: The slow, often painless journey from mild inflammation to permanent damage from smoking to teeth.
The Reversal Window: Which types of damage can be healed and which require intensive intervention, including how to reverse gum damage from smoking.
Actionable Defense Protocols: Evidence-based steps to halt the cycle of how Smoking & Sugar Destroy Your Teeth and Gums and regain control.
The structure that serves as the foundation of your teeth is made up of your gums and jawbone. Once compromised, the stakes change forever. Before you dismiss the combined threat, understand the jaw-dropping science of how Smoking & Sugar Destroy Your Teeth and Gums—and what you can do today to stop it.
How Does Smoking Affect Teeth and Gums? The Unfiltered Truth

To really understand the effect of the combined assault, you need to first understand the impact of smoking alone. Smoking does so much more than just stain your teeth and leave you with bad breath; it is also a biological attack on the natural defense and repair mechanisms of your mouth. Many patients wonder, “can dentists tell if you smoke?” The answer is quite simply yes, and the proof is clearly visible on your teeth and gums.
Smoking Effects on Teeth and Gums: A Visual Timeline of Damage.
The injury is not immediate but rather a predictable and accelerating timeline of events. When searching for smokers teeth before and after quitting, you’ll see dramatic transformations, but understanding the progression is key to grasping how Smoking & Sugar Destroy Your Teeth and Gums:
Within 48 Hours: Reduced blood flow (vasoconstriction) to your gums begins, depriving tissues of oxygen and vital nutrients needed for daily repair.
1-6 Months: Visible signs appear: yellow-brown nicotine stains embed into enamel, and early gingivitis worsens despite brushing because healing is impaired. These are the earliest early signs of gum disease from smoking.
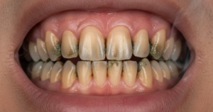
1-3 Years: The risk of severe periodontitis in a smoker is 2-5 times higher than a non-smoker. Bone loss begins silently. This is a critical phase in how Smoking & Sugar Destroy Your Teeth and Gums. A side-by-side comparison of smokers gums vs healthy gums pictures reveals stark differences in color, texture, and contour.
5+ Years: Significant aesthetic and functional damage is likely: deep periodontal pockets, gum recession, tooth mobility, and a high risk of smoking teeth loss. At this stage, smoking teeth damage is extensive and often permanent, demonstrating the full force of how Smoking & Sugar Destroy Your Teeth and Gums.
Look at your gums in the mirror right now. Compare them to smokers gums vs healthy gums pictures online. Are they a robust pink or pale, thin, and receded? The color and texture are your first clues to the vascular damage that accelerates how Smoking & Sugar Destroy Your Teeth and Gums.
From Plaque to Tooth Loss: Understanding Smoking Teeth Damage

Smoking compromises every frontline defense. First, it creates a dry mouth (xerostomia). Saliva is a natural cleanser in the mouth that neutralizes acids and rinses away food particles. If you do not have it, plaque will quickly and aggressively accumulate along the gum line. Dry mouth is also a primary driver of chronic halitosis—for comprehensive solutions, read The Dentist’s Secret: 12 Proven Home Remedies to Eliminate Bad Breath Permanently. This is a primary reason why do smokers get more cavities than non-smokers and a key mechanism in how Smoking & Sugar Destroy Your Teeth and Gums.
More critically, nicotine is a potent vasoconstrictor. It makes the microscopic blood vessels in your gums constrict, thus reducing the delivery of immune cells, antibodies and nutrients. It is a desperate situation as the body is trying to fight a battle, but the supply lines are cut. Therefore, this results in:
- The fact that the inflammatory signals have been covered, consequently, leads to fewer blood gums (one of the primary symptoms of gingivitis), hence, the easy misleading into believing that the health is good.
Bacterial infections progress faster and deeper because the immune response is crippled.
- It is a pity to note that the capacity of the body to repair and rebuild the connective tissue and bone is very minimal.
The question “does smoking make cavities worse?” is answered with a definitive yes—it creates the perfect environment for decay to flourish, completing the picture of how Smoking & Sugar Destroy Your Teeth and Gums.
Chewing Tobacco vs. Smoking: Different Delivery, Same Destruction

Do not believe that smokeless tobacco is not as harmful as to your mouth. Admittedly, it has no ill effect on the lungs, but it delivers a very sharp, immediate shock to your tongue and lips. It is true that it does not damage the lungs, but it provides a highly concentrated, direct damage to your oral tissues. The constant contact between tobacco and your gums leads to leukoplakia—thick, white, pre-cancerous lesions.
The high sugar content in many chewing products fuels decay, while abrasives grind down tooth enamel. Chewing tobacco teeth damage is often more localized but equally devastating in how Smoking & Sugar Destroy Your Teeth and Gums.
The nicotine is still absorbed, causing the same vascular damage and addiction. The result is a high risk for gum recession at the site of contact, severe tooth wear, and oral cancer. Whether smoked or chewed, tobacco systematically dismantles your oral defenses, proving that how Smoking & Sugar Destroy Your Teeth and Gums applies to all forms of tobacco.
What is Worse for Your Teeth: Sugar or Smoking? The Synergy of Destruction.
This is the wrong question. The true threat is not a matter of deciding which villain you prefer; it is about comprehending how they turn into a double of destruction to an even higher degree. On their own, they are damaging. As a pair, they are disastrous. This synergy is the essence of how Smoking and Sugar Destroy Your Teeth and Gums.
How Sugar Affects Your Gums: The 20-Minute Acid Attack Cycle

Sugar subjects us to two forms of influences, which are mechanical and chemical. Bacteria in your mouth can ferment carbohydrates. They take the carbohydrates as their energy source and then release acid. This acid lowers the pH in your mouth, creating an acidic environment that:
Demineralizes tooth enamel, dissolving its calcium and phosphate structure.
Irritates and inflames gum tissue directly, making them more vulnerable to infection.
“After every sugar contact, an acid assault is initiated that goes on for around 20 minutes. A systematic review in 2025 on sugar-sweetened beverages in Evidence-Based Dentistry reinforced that intake of SSBs results in a quick drop of salivary pH level, thus an acid environment that makes the tooth enamel demineralization easier and bacteria proliferation in fact, the mechanism which explained how Smoking & Sugar Destroy Your Teeth and Gums.”
The Vicious Cycle: How Smoking Makes Sugar’s Damage Irreversible
Now, combine the two. Smoking has already reduced your saliva flow (less acid neutralization) and crippled your gum tissue’s ability to heal. In this compromised environment, you introduce sugar.
The sugar feeds bacteria, leading to more acid and thicker plaque.
The smoking ensures your body cannot mount an effective inflammatory response to fight the resulting infection or repair the acid-softened enamel and irritated gums.
The plaque biofilm deepens into a pocket below the gum line. Adequately flowing blood is very good for your immunity and keeps your bones and ligaments in good condition that hold your teeth.
This synergy explains why a smoker who consumes a lot of sugar might often have very rapid, severe tooth decay and gum deterioration that appears to be more than what their oral hygiene would suggest. They are fighting with their immune system tied behind their back. This is the definitive explanation of how Smoking & Sugar Destroy Your Teeth and Gums.
For the next 24 hours, track your sugar intake and smoking. Note their proximity. Does a cigarette follow your sweetened coffee? This pairing is the epicenter of how Smoking & Sugar Destroy Your Teeth and Gums.
The 3-Stage Progression to Irreversible Damage:
The congregation path of devastation progresses through three particularly distinct phases. It is very critical that one understands the particular stage he or she is in, for this may influence the decision about what can be saved and what cannot. Understanding permanent damage from smoking to teeth requires honest self-assessment of how Smoking & Sugar Destroy Your Teeth and Gums in your own mouth.
Stage 1: The Silent Onset (Reversible Inflammation)

This stage is characterized by gingivitis. Your gums may be red, slightly puffy, and may bleed when brushed or flossed. However, due to smoking’s vasoconstriction, bleeding may be less noticeable. These are the subtle early signs of gum disease from smoking that are easy to dismiss, yet they represent the earliest phase of how Smoking & Sugar Destroy Your Teeth and Gums.
Outcome: This stage is fully reversible with impeccable oral hygiene, professional cleaning, smoking cessation, and dietary change.
Warning Sign: A persistent bad taste or slight gum tenderness, even without obvious bleeding.
Stage 2: The Accelerated Decline (Gum Recession & Deep Decay)

When the inflammation isn’t halted, it progresses to periodontitis. That is when bacteria along with their toxins penetrate the gum line, killing the periodontal ligament and the jawbone starts to get eroded. For a complete, step-by-step system to halt and reverse this progression, explore our Reverse Gum Disease Naturally: The Dentist-Backed 3-Phase Protocol for Lasting Gum Health. This is the middle stage of how Smoking & Sugar Destroy Your Teeth and Gums. This is the middle stage of how Smoking & Sugar Destroy Your Teeth and Gums. You may notice:
Gum recession (teeth looking longer)
Pockets of 4-5mm or more between tooth and gum
Increased sensitivity as roots become exposed
Mild tooth mobility
Cavities forming at the roots (root caries), which progress quickly
Outcome: Bone loss has begun. This damage can be halted and managed with intensive treatment, but the lost bone and gum tissue typically will not regenerate fully on their own.
Stage 3: The Point of No Return (Periodontal Bone Loss & Tooth Mobility)

This is the irreversible stage hinted at in the title. Significant bone destruction (sometimes 50% or more around the tooth) has taken place. In 2026, a meta-analysis published by Frontiers in Medicine established that smoking aggravates a lot of periodontal inflammation, as well as that it reduces alveolar bone resorption. Smokers have been reported to experience an increased level of bone destruction markers in the gingival fluid, including RANKL and MMP-9.
Outcome: The structural support for your teeth is gone. Sadly, it is not possible to recover this loss of bone, and treatment to save the teeth can be extreme, including regenerative surgery, bone grafts, or tooth removal and replacement. This is the reality of smoking teeth damage at its most advanced stage, the ultimate proof of how Smoking & Sugar Destroy Your Teeth and Gums.
Do your teeth feel solid, or do you detect the faintest movement when pressing them with your tongue? Any mobility is a dental emergency. Book a periodontal exam right away to check for any bone loss from how Smoking & Sugar Destroy Your Teeth and Gums.
The Recovery Timeline: If I stop smoking, Will My Gums Repair?
Yes, but the extent and speed of repair depend overwhelmingly on the stage of damage when you quit. Your body’s healing capacity dramatically improves once nicotine’s restriction is removed and blood flow restores. The question “how to reverse gum damage from smoking” is one of the most searched, and the answer lies in interrupting how Smoking & Sugar Destroy Your Teeth and Gums at the earliest possible stage.
Smokers Teeth Before and After Quitting: What Realistic Healing Looks Like

Visual evidence of smokers teeth before and after quitting can be dramatic and inspiring. Here is the realistic healing timeline after halting how Smoking & Sugar Destroy Your Teeth and Gums:
Within 2-12 Weeks: Circulation improves. Gum inflammation and redness will reduce. Your response to professional cleanings and daily care becomes markedly more effective. The risk of infections begins to drop.
3-9 Months: Noticeable improvements in gum color, texture, and attachment. Gums can re-tighten around teeth, reducing pocket depths in early to moderate periodontitis. This is the healing gums after quitting smoking timeline that most patients experience after stopping the cycle of how Smoking & Sugar Destroy Your Teeth and Gums.
1 Year: Your risk for severe periodontitis drops significantly, nearing that of a never-smoker. Dental procedures are performed well in the case of a relaxed environment.
Crucial Reality: Quitting halts the accelerated damage and allows healing, but it does not reverse lost bone or gum tissue. Stage 3 damage is an entity that is treated and not cured.
How Long Does It Take for Smoking to Affect Your Teeth? (And How Long to Heal)
Damage begins with the first cigarette due to immediate vascular effects, but visible, clinical damage typically manifests within 1-6 months of regular use. Healing begins within 48 hours of quitting as circulation improves, but measurable clinical improvements in gum health take 3-6 months of sustained cessation and good care.
Smokers Gums Treatment: Professional vs. Effective Home Care
Effective smokers gums treatment requires a two-pronged attack that is non-negotiable in reversing how Smoking & Sugar Destroy Your Teeth and Gums:
Professional Treatment: This is essential. It starts with a full periodontal charting to measure pocket depths. Pro experts cleaning consists of many things like scaling and root planning, laser treatments, antibiotics, and/or gum surgery. Deep periodontal pockets are the areas that you cannot clean by yourself at home.
Effective Home Care: Use an electric toothbrush with gentle pressure, alcohol-free fluoride mouthwash to combat dry mouth and decay, and interdental brushes or water flosses to clean between teeth and stimulate gums.
When researching best toothpaste for smokers and sugar, look for formulas containing stannous fluoride or nano-hydroxyapatite. These ingredients help combat bacteria, reduce sensitivity, and support remineralization of acid-weakened enamel damaged by how Smoking & Sugar Destroy Your Teeth and Gums.
Your 2024 Defense Protocol: Halting the Damage & Protecting Your Smile.
The Blood Sugar & Blood Flow Strategy: Critical Dietary Adjustments
Time Your Sugar: Consume sugary foods/drinks only at mealtimes, not as standalone snacks, to limit acid attacks that fuel how Smoking & Sugar Destroy Your Teeth and Gums.
Follow with Protectors: End meals with water, cheese, or xylitol gum to neutralize acid.
Hydrate Relentlessly: Drink water throughout the day to combat dry mouth and dilute acids.
Boost Nutrient Intake: Deep cleanings (scaling and root planting), laser therapy, antibiotics and gum surgery are some of the treatments methodologies that are provided professionally. In deep periodontal pockets, home cleaning is not possible. For a complete list of clinically proven foods that actively repair oral damage, see our guide: 12 Dentist-Proven Superfoods for healthy teeth and gums (Clinically-Backed!).
Targeted Oral Care for Smokers and Sugar Consumers
Brush with a Soft Brush: Use a soft-bristled or electric brush to avoid scrubbing already vulnerable gums and roots.
Clean your teeth daily: This is where disease starts. Everest never switches between your teeth! The same can be achieved through flossing, interdental brushing or even water flossing.
Use Remineralizing Agents: Consider prescription-strength fluoride toothpaste or nano-hydroxyapatite toothpaste.
Get Biannual Cleanings & Annual Periodontal Checks: Smokers often need professional cleanings more than twice a year to manage how Smoking & Sugar Destroy Your Teeth and Gums.
When to See a Professional: Signs You Need a Dentist Now.
Do not wait for pain. If you notice gums pulling away from teeth, persistent bad breath, pus between gums and teeth, a change in your bite, or loose teeth, seek immediate professional evaluation. These are advanced signs of how Smoking & Sugar Destroy Your Teeth and Gums. For smokers, annual oral cancer screenings are mandatory.
This week, implement one pillar of this protocol. Make a reservation to have that periodontal check that you have procrastinated about or have your afternoon soda replaced with water and xylitol gum.
Research the best toothpaste for smokers and sugar and upgrade your oral care routine. One change breaks the cycle of how Smoking & Sugar Destroy Your Teeth and Gums.
FAQs
How does smoking affect teeth and gums?
What is worse for teeth, sugar or smoking?
As independent factors, both are severely damaging. Nevertheless, when the two are combined, it becomes much worse. Sugar initiates the acidic environment that leads to tooth decay and gum irritation, whereas smoking undermines the body’s immune system so it can no longer fight the damage or heal. When these two factors are combined, they greatly speed up the route to irreversible periodontal bone loss. This is the definitive answer to how Smoking & Sugar Destroy Your Teeth and Gums.
How does sugar affect your gums?
Sugar feeds the plaque bacteria, which then harms gums due to acid production. This acid is capable of irritating and inflaming the gums of your mouth. Besides that, a high sugar diet causes an elevated level of inflammation throughout your entire body, thus the gum disease becomes even worse. This is why do smokers get more cavities—the combination of dry mouth, reduced immunity, and constant sugar exposure creates ideal conditions for decay and explains how Smoking & Sugar Destroy Your Teeth and Gums.
Will stop smoking improve my gums?
Yes, quitting smoking can have a major effect on the health of your gums. Improved circulation helps your immune system to combat bacteria and start repair noticeably within weeks. The healing gums after quitting smoking timeline shows measurable improvements within 3-6 months. Nonetheless, major gum recession or bone loss that has already taken place is to a great extent not reversible without the help of surgery. Quitting is the single most effective way to halt how Smoking & Sugar Destroy Your Teeth and Gums.
How long does it take for smoking to affect your teeth?
Circulatory effects and salivary effects begin immediately negatively. Visible effects like increased plaque, staining, and gingivitis can appear within 1 to 6 months of regular smoking. The damage that is significant takes years to develop, but in smokers, it advances much quicker than in non-smokers.
If I stop smoking, will my gums repair?
Your gums will heal, and their health will improve considerably. Surface inflammation will subside, and they can re-tighten to teeth in the early stages of disease. However, how to reverse gum damage from smoking depends entirely on how advanced the damage is. The loss of bones and receding gums to an extreme degree need a doctor’s treatment.
Can chewing tobacco cause the same damage as smoking?
Yes, chewing tobacco teeth damage can be equal to or greater than smoking. It directly exposes gums to carcinogens and irritants, leading to a high risk of leukoplakia and gum recession at the site of contact. It delivers nicotine, causing the same vascular damage, and often contains abrasives and sugars that wear down teeth and promote decay. This is another pathway for how Smoking & Sugar Destroy Your Teeth and Gums.
Is smoking-related tooth loss reversible?
Lost teeth do not grow back. Replace irreparable ones. The loss of bone that resulted in the loss of the teeth can however be stabilized with the cessation of smoking. Importantly, dental treatments of the future such as implants in non-smokers or ex-smokers who have been off smoking for a considerable time have a much higher rate of success.
Can dentists tell if you smoke?
Absolutely. Dentists are trained to recognize smoker’s gums vs healthy gums pictures in real patients. Some of the indications are nicotine staining, a gum inflammation pattern that is quite distinctive, slow healing, recession, and a peculiar odor. There is no hiding the evidence of how Smoking & Sugar Destroy Your Teeth and Gums from a trained professional.
What is the best toothpaste for smokers and sugar?
The best toothpaste for smokers and sugar contains stannous fluoride for antibacterial protection, nano-hydroxyapatite for enamel remineralization, and mild abrasives for stain removal without damaging exposed roots. Find out drugs that have been specifically designed to guard the gums and teeth of sensitive people.
How can I protect my teeth if I smoke?
Learning how to protect teeth if you smoke involves aggressive prevention: professional cleanings every 3-4 months instead of 6, prescription fluoride toothpaste, daily interdental cleaning, sugar timing, relentless hydration, and most importantly, a structured plan to quit. These steps directly counter how Smoking & Sugar Destroy Your Teeth and Gums.
Final Verdict: Taking Control of Your Oral Destiny
The evidence is undeniable. How Smoking & Sugar Destroy Your Teeth and Gums is a sophisticated, synergistic attack that exploits every weakness in your mouth’s defense system. The permanent damage from smoking to teeth is real, progressive, and often painless until it reaches the irreversible stage of bone loss.
But here is the empowering truth: you can stop it. Stage 1 is fully reversible. Stage 2 can be halted and managed. Even Stage 3 can be stabilized with professional care and lifestyle change. The question is no longer “how to reverse gum damage from smoking” in some hypothetical future—it is what you choose to do today to halt how Smoking & Sugar Destroy Your Teeth and Gums.
Assess your stage honestly. Compare your gums to smoker’s gums vs healthy gums pictures. Feel for mobility. Note the signs of how Smoking & Sugar Destroy Your Teeth and Gums.
Schedule a comprehensive periodontal evaluation. Not a routine cleaning—a full charting of pocket depths.
Commit to one change this week. Reduce sugar frequency. Switch to the best toothpaste for smokers and sugar. Start the conversation about cessation resources.
Share this article. Someone you know is silently progressing through these stages, unaware that their daily habits are setting the stage for irreversible loss.
The war against smoking and sugar starts now. Arm yourself with action.
